See More with AI: Breast Cancer Detection You Can Trust

AI helps detect signs of breast cancer that may be easy to miss, bringing more clarity and peace of mind to your screening.
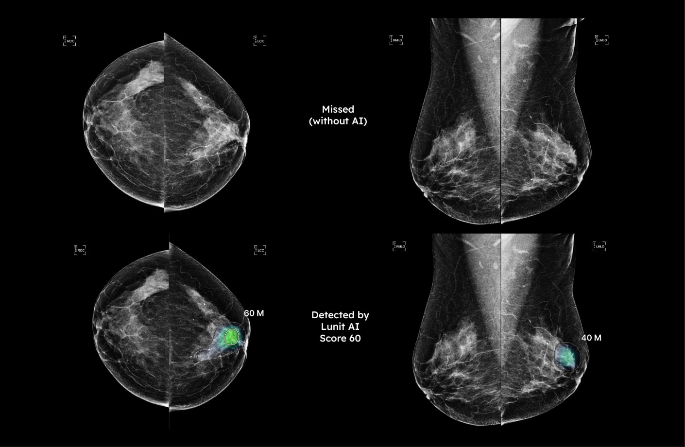
Earlier answers for your peace of mind

Earlier answers for your peace of mind

AI helps detect breast cancer earlier, giving you more time, more options, and greater confidence in your care.
Clearer screening for every woman

Clearer screening for every woman

No matter your breast type (even dense tissue) AI brings more clarity to your mammogram, reducing confusion and unnecessary follow-ups.
Supports your doctor’s expertise

Supports your doctor’s expertise

AI works with your doctor as a second set of eyes — combining advanced technology and human expertise for clearer results.

Get to Know Your Mammogram Experience

What to expect at your mammogram

What to expect at your mammogram

Your mammogram is quick, usually 15–20 minutes. Each breast is gently pressed for a few seconds to get a clear X-RAY image — it may feel uncomfortable, but not for long.

Afterward, a radiologist reviews your images and your doctor gets the full report.

Understanding breast density

Understanding breast density

A second digital analysis

A second digital analysis

Lunit INSIGHT is an AI-powered software that analyzes mammogram images and alerts the radiologist of suspicious areas. Serving as a valuable second opinion, Lunit INSIGHT provides another layer of scrutiny and detects abnormalities that might not be visible to the human eye.